磯子区・杉田で小児歯科・小児矯正・マウスピース矯正なら

〒235-0033 神奈川県横浜市磯子区杉田1-20-21
京浜急行電鉄本線「杉田駅」より徒歩2分

診療時間

10:00~13:30

× ×
14:30~18:00 × ×

 休診日:水曜、日曜、祝日

ご予約・お問合せはこちらへ

045-772-0895

後戻りが少ない、負担が少ないPRO矯正
杉田・新杉田で小児矯正小児歯科マウスピース矯正なら 平野歯科医院

院長 平野 達也(ひらの たつや)

杉田にある平野歯科医院、院長の平野 達也(ひらの たつや)です。

当院ではお子さまの歯並びを整える矯正治療として、1歳から始められる「PRO矯正」、生え変わりの少し前の段階から始める後戻りの少ない「PRO矯正」、ワイヤーではなく目立たない透明のマウスピースを使う「7歳から始められるインビザライン・ファースト」「インビザラインティーン」などの治療法をご用意。お子さま一人ひとりに合わせた治療をご提供いたします。

また、お子さまの虫歯治療や予防歯科にも力を入れています。お子さまを虫歯にしたくないと考えていても、その方法がわからないという親御さまは多いのではないでしょうか。そんな方もぜひ気軽にご相談ください。虫歯を防ぐ方法をお子さまと親御さまにわかりやすくアドバイスし、お子さまのお口の健康を守るお手伝いをさせていただきます。

診療の際に意識をしているのは、歯科医師として私が良いと考える治療が、患者さまにとっての最適とは限らない、ということです。患者さまのお話にしっかり耳を傾け、患者さまにとってより良い治療、自分の子どもにもしたいと思える治療を心がけています。

口呼吸から鼻呼吸に移行できるようにしています

当院で取り組んでいるPRO矯正は、お口の周りのトレーニングにより口呼吸から鼻呼吸へと、正しい呼吸法を身に付けることができます。

お口での呼吸は歯並びの悪化につながるだけでなく、虫歯リスクにも影響します。また、免疫力を低下させ、風邪やアレルギー症状の原因となっていることも。当院では、口呼吸から鼻呼吸へと移行させる矯正治療を行い、きれいに整った歯並びとともに、お子さまが元気で健康に過ごせる体作りを行います。

お子さまの将来のお口の健康、全身の健康を守るために、ぜひご検討ください。

当院の矯正治療つの特徴

平野歯科医院は、お口周りのトレーニングによって正しい呼吸法を身に付け、自然な歯並びへと導く「PRO矯正」を行っています。お子さまが健康な歯並びを生涯維持できるよう、後戻りの少ない治療をしています。

お子さまの「今」と「未来」を考えた治療

お子さまの矯正治療を担当するのは、これまで小児矯正とともにお子さまの治療を中心に行ってきた経験豊富な院長です。お子さまの心理面への配慮と、発達段階を考慮した診療を心掛けています。そして、今のお口の中で歯並びを整えるだけではなく、今後の成長を考え、未来のお口も健康に保つことを目指します。

CTによる精密な検査も行います

症例に合わせて、治療を開始する前にCT検査も行います。

CT検査をすることで、あごの骨の中にまだ埋まっている永久歯の状態を正確に把握できるため、より適切な治療計画を立てることが可能です。

正しい呼吸法が身に付く「PRO矯正」で、歯並びを悪くする原因にアプローチ

お口周りの筋肉を整えるトレーニングを行い、口呼吸を正しい鼻呼吸に移行させることができる「PRO矯正」に取り組んでいます。PRO矯正は、歯並びを悪くする根本的な原因にアプローチできます。

この治療法でトレーニングを行うと、自然と歯が正しい位置におさまるため、歯並びが元に戻ろうとする「後戻り」も起きにくくなります。PRO矯正は、歯並びを悪くする根本的な原因にアプローチし、生涯を通して健康な歯並びを維持しやすいお口をつくります。

キレイな歯並びで、体も健康に

歯並びは、全身の健康につながるとても重要な要素です。正しい歯並びで健康な噛み合わせになると、あごの位置が安定し、正しい姿勢へと改善されていきます。また、免疫力が向上して風邪などをひきにくい体を作ることにもつながります。

成長段階に合わせた治療をご提案します

当院の矯正治療では、お子さまの状態をしっかり確認し、成長段階に合わせた適切な治療法をご提案いたします。

生え変わりのタイミングで行うPRO矯正のほか、お子さまのあごの成長を促す床矯正(しょうきょうせい)、また、目立たないマウスピース矯正「7歳から始められるインビザライン・ファースト」「インビザラインティーン」など、さまざまな治療方法をご用意しております。

しっかりとお話をうかがいます

矯正治療は、1度のご来院で終わる治療ではありません。治療が長期に及ぶため、お子さまのお気持ちはもちろん、親御さまのご負担も配慮し、どんな治療法なのか、今お子さまのお口の状況がどうなっているのか、しっかりとご説明しながら治療を進めていきます。

当院の小児矯正治療について

当院で行っている矯正治療の種類についてご説明します。

治療がどのように進むのか、当院の矯正治療の流れをご説明いたします。

患者さまからいただくことの多い質問についてまとめました。

当院で治療されたお子様の症例

2024年に当院で小児矯正治療を受けられたお子様の症例写真です。

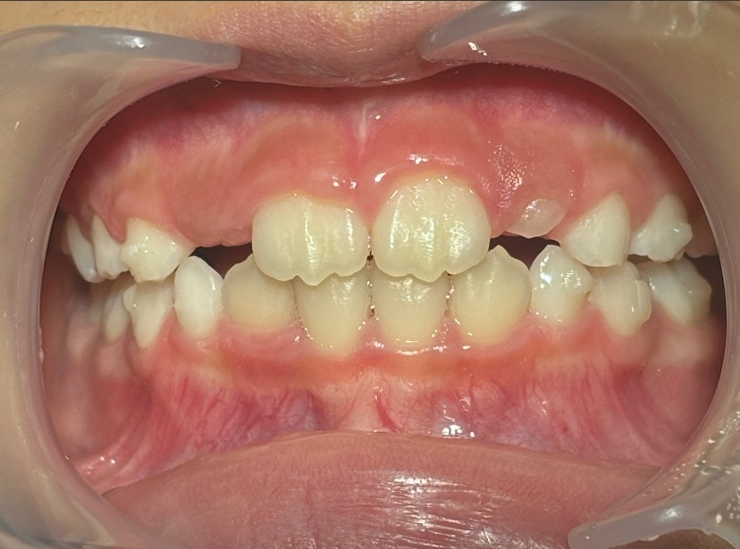
矯正治療前

7歳

<コメント>

治療前は、前歯の間に隙間(空隙歯列)が目立ち、上下の歯が深く重なりすぎる「噛み合わせの深さ(過蓋咬合)」も見られました。

この時期に治療を始めることで、これから生える永久歯が正しく並ぶための顎の土台づくりをサポートします。

矯正治療後

8歳

<コメント>

半年の治療の結果、目立っていた前歯の隙間は解消され、きれいに整った歯並びになりました。また、深かった噛み合わせも改善し、上下の歯が安定して噛み合っています。

お子様の成長力を活かし、美しく健康的な噛み合わせと歯並びを確立できました。

お子さまのお口のことならお任せください

当院は、お子さまが親しみやすく、通いやすい歯科医院です。お子さまの成長ペースに合わせ、一人ひとりに合った治療を進めていきます。子育て真っ最中の院長やスタッフが、親御さまの気持ちにも寄り添います。歯並びはもちろん、虫歯の治療や予防、定期検診など、お子さまのお口でお困りのことがございましたら、何でもご相談ください。

お子さまが歯医者嫌いにならないよう、痛みの少ない治療を行っています。怖がることなく通院してもらうため、お口を開けるところからのトレーニングや、治療器具の選び方にまで配慮。お子さまの気持ちに寄り添うことを大切にしています。

歯磨き方法の指導や虫歯を防ぐフッ素塗布のほか、虫歯にならないお口をつくるお食事についてなど、親御さまにもしっかりアドバイスしています。専任の歯科衛生士と一緒に、お子さまの歯とお口の健康を守りましょう。

厚生労働省が認める院内感染対策に配慮した歯科医院です

当院は「かかりつけ歯科医機能強化型歯科診療所」として認定された歯科医院です。

定期的なお口の予防管理を行うことで患者さまの健康を支え、医療における安全対策をきちんと行っていることが厚生労働省に認められています。

院内感染対策を徹底しています

患者さまが安心して治療を受けられる歯科医院を目指し、院内感染対策を徹底しています。

使い捨てにできる道具は使い捨てにし、患者さまごとに交換。治療器具はセットでパッキングし、使用する際に患者さまの目の前で開封します。また口腔外バキュームを使用して、空気中に飛び散る削りカスなどを吸引し、院内の空気も清潔に保てるようにしています。

当院では矯正歯科治療でお悩みの方へ無料矯正相談を行っています。お電話かWEB予約よりお気軽にご連絡ください。

045-772-0895

診療時間

 
午前 × ×
午後 × ×

月曜・火曜・木曜・金曜・土曜
10:00~13:30/14:30~18:00
休診日:水曜、日曜、祝日

045-772-0895

〒235-0033
神奈川県横浜市磯子区杉田1-20-21
京浜急行電鉄本線「杉田駅」より徒歩2分